loading
Illustration of All on 6 dental implants showing six titanium implants supporting a full-arch prosthetic.

Planning Your 2026 Trip? ✈️

Get a Free Personalized Treatment Plan from our senior medical team.
🎁 INCLUDES: Free VIP Airport Transfer & Hotel Assistance.

(Decision Page) • All-on-X • v2026.9

Clinical decision summary (2026):

The All-on-4 vs All-on-6 decision is biomechanical. All-on-4 is designed to maximize bone contact using tilted posterior implants when posterior bone is limited. All-on-6 adds two vertical anchors to improve load distribution in wider arches and higher bite forces. Both require a 2-visit protocol to protect osseointegration. Final suitability is confirmed exclusively via a CBCT 3D scan.

If you are still researching the broader context, start here: Dental implants in Turkey . For structured full-arch options, see: All-on-4 packages in Turkey.

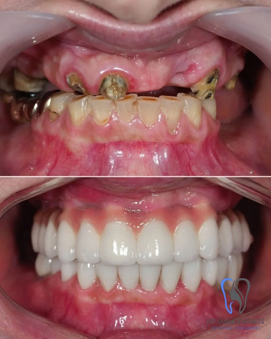
All-on-4 vs All-on-6 before and after results at IST Smile Experts Istanbul

✨ Clinical transformation: from missing teeth to a fixed Zirconia arch.

Medical authority

Dr. Nacip

“All-on-X is not a sales package. It is a precision engineering plan. If your bite force and arch width require 6 implants for lifetime stability, we prioritize that—without shortcuts.”

1) The real difference: engineering, not marketing

The choice is dictated by load distribution and anatomy. Therefore, the correct system is the one that keeps forces stable over years, not days.

Clinical decision matrix: who fits All-on-4 vs All-on-6?

Clinical factor When All-on-4 is typically preferred When All-on-6 is typically preferred What confirms it
Bone anatomy
Posterior bone volume
Posterior bone is limited; tilted posterior implants help avoid aggressive grafting. Posterior bone is adequate, allowing two extra anchors for distribution. CBCT measurements (bone height/width + sinus/nerve map)
Bite forces
Bruxism / heavy bite
Possible with strict bite design and protective protocol. Often preferred for higher forces due to added distribution points. Occlusion analysis + clinical bite assessment
Arch width
Wider arches
Works in many cases; design becomes more sensitive to cantilever control. Often preferred in wider arches to reduce mechanical leverage. CBCT + intraoral scan + prosthetic design plan
System goals
Maximum stability
Stability depends on surgical torque + strict healing protocol. Generally offers higher mechanical tolerance long-term. Primary stability + staged loading plan
Micro-closing

If we can’t confirm it clinically, we don’t sell it

Send your panoramic X-ray (or CBCT if available). We’ll tell you which system matches your anatomy—and which one we would refuse.

2) Engineering table: stability, stress, and long-term maintenance

Factor All-on-4 protocol All-on-6 protocol
Load distribution Effective when designed correctly; distribution relies more on prosthetic engineering. More distribution points; typically higher mechanical tolerance.
Cantilever sensitivity More sensitive if posterior support is limited; design must be controlled. Often reduced due to added posterior anchorage options.
Bone graft probability Often lower; tilted implants can reduce need for grafting in some cases. May require posterior bone availability or grafting to place extra implants safely.
Maintenance expectations Regular hygiene + checks; protection is essential in heavy bite cases. Same hygiene standards; may be more forgiving under load if designed well.
Visit protocol 2 visits (surgery + healing, then final bridge). 2 visits (same protocol; reinforced distribution plan).

3) 2026 cost framework (EUR)

Pricing is case-dependent. Therefore, the correct number of implants and bridge type are confirmed after CBCT planning.

Package Typical inclusions Investment range (EUR) Best suited for
All-on-4 (single jaw) CBCT planning, surgical placement, temporary teeth during healing (case-dependent), final fixed bridge after osseointegration (per plan). €4,500 – €7,000 Posterior bone limitations; controlled design for long-term stability.
All-on-6 (single jaw) CBCT planning, surgical placement, staged loading protocol, final fixed bridge after healing (per plan). €6,500 – €9,500 Wider arches / higher bite forces where extra anchors improve distribution.
Full mouth (upper + lower) Full-mouth planning, staged visits, final fixed bridges, occlusion calibration and long-term maintenance plan. €8,800 – €12,000+ Patients seeking fixed teeth with predictable long-term stability.

Currency disclaimer: Prices shown are indicative 2026 ranges in EUR and may change based on clinical findings, bone condition, required adjunct procedures, and final bridge design. Final treatment cost is confirmed after CBCT evaluation and in-clinic assessment. For structured package details, see: All-on-4/6 implant packages in Turkey.

Micro-closing

Price is meaningless without stability control

If your plan needs 6 implants for predictable load distribution, we will recommend 6—even if 4 is cheaper. That is confirmed during your on-site consultation.

4) When we say NO (to protect outcomes)

High success is not luck. It is selection and protocol control. Therefore, we refuse cases when biology is not stable.

Condition Why we pause / refuse What we do instead
Active gum disease Inflammation increases peri-implant risk. Stabilize gums first, then re-assess.
Uncontrolled diabetes Healing predictability decreases. Coordinate medical stabilization, then plan safely.
Heavy smoking (no reduction) Higher failure and complication risk. Set reduction protocol during healing phase.
Requests for rushed “fast-track” loading Biology cannot be discounted. 2-visit protocol with controlled staged healing.
Patient quality filter

This approach is designed for patients prioritizing safety, predictability, and long-term results — not the lowest upfront cost. If you are searching for the “cheapest price,” we are likely not the right fit.

Micro-closing

One step to confirm the right system

Confirm your travel month, then send your X-ray. We will respond with the system recommendation (All-on-4 or All-on-6) and the staged protocol required.

Clinical FAQ

1) Is All-on-6 always better than All-on-4?
No. If posterior bone is limited, forcing extra implants can increase risk. Therefore, All-on-4 can be clinically safer when planned correctly.
2) Why do I need 2 visits?
Osseointegration typically requires 3–6 months. Final heavy bridges placed too early increase failure risk. Therefore, a staged protocol is protective.
3) Are the teeth permanently fixed?
Yes. Both systems result in a fixed bridge screwed onto implants, designed for stable function and aesthetics.
4) Can I smoke with All-on-X?
Smoking increases complication risk. We typically recommend reduction or pausing during the first 8 weeks of healing to protect integration.
5) How long does the final bridge last?
With maintenance and hygiene, fixed full-arch bridges are designed for long-term function. Longevity depends on bite forces, hygiene, and follow-up.
6) What is the success rate?
Success is case-dependent. However, CBCT-first planning, staged healing, and bite control significantly reduce preventable risks.
7) How do I start?
Send your panoramic X-ray (or CBCT) and your preferred travel month via WhatsApp. Then we confirm suitability clinically.
Single next step

Confirm your system clinically

Send your X-ray + travel month. We confirm whether All-on-4 or All-on-6 is the safer option for your anatomy.

Our Trusted Global Partners & Technology

Write a Reply or Comment

Your email address will not be published. Required fields are marked *