These results are not an accident. They are the product of decades of experience and advanced technical training.
Your journey to BOOSTING CONFIDENCE starts with a simple, free consultation. Send us your photos today to receive a 100% free, no-obligation Quote from our experts.
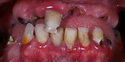
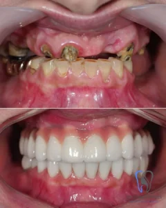
Case Study: All-on-6 Restoration
- Procedure: All-on-6 Full Mouth Restoration
- Patient: David S. (from Australia)
- Problem: Full upper arch missing.
- Time: 6 Days (Trip 1) Time: 7Days (Trip 2)
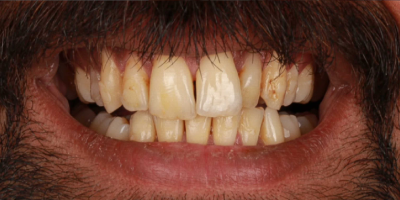
Case Study: 22 Zirconium Crowns
- Procedure: Hollywood Smile (22 Zirconium Crowns)
- Patient: Mosbah J. (from USA)
- Problem: Old, failing dental work and discoloration.
- Time: 6 Days in Istanbul
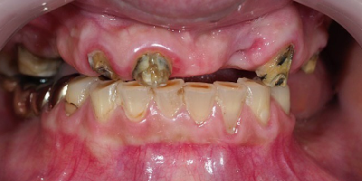
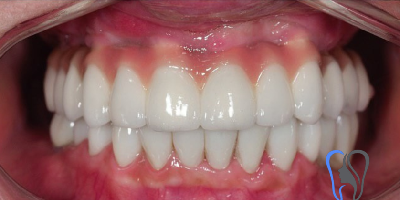
Case Study: All-on-4 Restoration
- Procedure: All-on-4 Full Mouth Restoration
- Patient: Suzan T. (from Canada)
- Problem: Unstable Upper denture.
- Time: 6 Days (Trip 1) Time: 7Days (Trip 2)
Case Study: Smile Makeover
- Procedure: Hollywood Smile (Zirconium Crowns)
- Patient: (Anonymous)
- Problem: Missing tooth, discolored, and damaged teeth.
- Time: 6 Days in Istanbul
Case Study: Full Mouth Restoration
- Procedure: Implants, Crowns, and Bridges
- Patient: Michael B. (from Texas, USA)
- Problem: Failing teeth, multiple missing teeth.
- Time: 3 Days (Trip 1) Time: 7 Days (Trip 2)
Case Study: Full Emax Makeover
- Hollywood Smile (20 Emax Veneers)
- Patient: Sarah R. (from London, UK)
- Problem: Gaps, discoloration, and uneven shape.
- Time: 5 Days in Istanbul
Meet Our Experts
Dr. Nacip Aydin
36+ Years of Experience
Cosmetic & Restorative Dentist“With over 36 years of expertise, Dr. Aieden is a master of aesthetic and functional dentistry. He holds advanced training from Ivoclar Vivadent, Nobel Biocare (All-On-Four), and 3M, ensuring natural, long-lasting results for our international patients.”
Languages
- Arabic
- English
- Turkish
DT. Cuneyt Demirtaş
Specialist Dentist (3 Years Exp.)
Cosmetic & Restorative Dentist
“A graduate of the prestigious Istanbul University, DT. Demirtaş is a rising star in aesthetic dentistry. He holds advanced training from Ivoclar Vivadent (Laminate applications) and Nobel Biocare (All-On-Four), focusing on the latest techniques to ensure patient satisfaction.”
Languages
- Arabic
- English
- Turkish
Dr. Abdulrahman Balaban
10+ Years of Experience
Cosmetic & Restorative Dentist
“With over 10 years of expertise, Dr. Balaban is a master of aesthetic and functional dentistry. He holds advanced training from Ivoclar Vivadent, Nobel Biocare (All-On-Four), and 3M, ensuring natural, long-lasting results for our international patients.”
Languages
- English
- Turkish
Hear Their Stories: Patient Testimonials
A State-of-the-Art Clinic, Designed for Your Comfort
Our state-of-the-art Istanbul clinic blends advanced technology with total comfort and the highest hygiene standards. This is where your confidence journey begins.




Ready to Be Our Next Success Story?
Your journey to BOOSTING CONFIDENCE starts with a simple, free consultation. Send us your photos today to receive a 100% free, no-obligation Quote from our experts.